尼崎市塚口で歯医者をお探しなら

〒661-0012 兵庫県尼崎市南塚口町7-28-1 共栄ビル2階.3階
阪急神戸線「阪急塚口駅」南改札口より徒歩8分

診療時間
9:30~13:00 × ×
14:30~18:30 × ×

△:9:30~12:00 13:00~16:00

□:9:00~12:30 13:30~17:30 

休診日:木曜・日曜・祝日

 

ご予約・お問合せはこちらへ

06-6422-8241

歯周病治療とは

皆さん、歯周病(歯槽膿漏)って言葉を聞いた事がありますでしょうか?

「よくコマーシャルなんかで流れてるので聞いたことあるぞ!」と言う方もいらっしゃると思いますが、歯周病は、お口の中に存在する細菌(歯周病菌)によっておこる『歯を支えている歯ぐきや骨等の病気の総称』です。

歯周病のメカニズム

  1. 健康な歯ぐきの人にも存在する歯と歯ぐきの境目の溝(1~2mm)に食べ物のかすが溜まり、歯ブラシが届きにくいため24時間以上そこに食べかすがあると、歯周病菌が集まってきて食べかすが腐ってしまいます。それを歯垢(プラーク)と言います。
  2. また、歯垢が歯ブラシによって磨かれずに1週間滞在すると、唾液のカルシウム分で固まってしまい歯石になります。
  3. この菌の集まりである歯垢(プラーク)と歯石により歯ぐきに炎症をおこし、歯の根とくっついていた歯ぐきがはがれ、歯と歯ぐきの境目の溝が深くなり歯周ポケットを形成します。
  4. それに伴い骨も溶けていってしまうのです。最終的には、歯がぐらついてきて、失ってしまう事になります。

このような、メカニズムによって歯周病は進行しします。虫歯と異なり症状が出にくく、気がつけば重度になっていたと言う事がよくあります。また、歯周病は25歳ぐらい(早い人はもっと若く)からゆっくりと進行すると言われています。

是非、一度歯科医院で検査してもらってはいかがでしょうか?

歯周病チェック

歯周病という言葉は聞くけど、いったいどういう症状がでるの? と言う方、ちょっとチェックしてみましょう。

  • 歯ブラシを使うと歯ぐきから血がでる
  • 歯ぐきが赤く腫れている
  • 口のなかがネバネバする
  • 冷たいもの熱いものが歯にしみる
  • 歯が浮く感じがする(肩がこった時や疲れた時、一緒に)
  • 固いものをかむと痛い(グラグラする)
  • 口の中が臭い

このチェックであてはまる時は、歯周病が原因かもしれません。

進行度と治療

歯周病は、歯周病原菌の感染によって起こります。

その中の歯周病原菌となる特異な細菌が、歯と歯ぐきのなかで異常増殖すると歯周ポケットが形成され、 歯肉がはれ、歯槽骨の破壊を起こさせるのです。

歯周病には、4つのステージがあり、それぞれの症状により治療法も異なります。

まず、歯周病(歯槽膿漏)のチェックのためレントゲン検査、歯周ポケット(歯ぐき)検査をさせて頂きます。そして結果と治療計画を説明し、治療に入っていきます。

歯肉炎

歯と歯肉の間から入った細菌(歯垢、歯石)が歯肉に炎症をひきおこす。

→ ブラッシング指導(プラークコントロール)

初期歯周炎

細菌が歯と歯肉の境目からわり込み、歯と歯肉を離れさせる。(歯周ポケット3ミリ以内)

→ 歯石除去 初期歯周炎

中等度歯周炎

歯と歯肉の境目に付着した細菌が、歯の根の面に沿って根の先へ侵入し、繁殖して臭いを発する。(口臭)さらに、歯肉の中にある歯槽骨を溶かしてしまう。(歯周ポケット4-5ミリ)

→ ルートプレーニングの適応 中等度歯周炎

重度歯周炎

歯槽骨は、ほとんど吸収され、それに伴い歯ぐきも下がり(歯ぐきが下がらない場合もある) 歯根がむき出しになる。ついにはグラグラと動揺し抜け落ちてしまう。(歯周ポケット6ミリ以上)

→ フラップ術の適応

歯周病予防

自分でできる7ヶ条

  • 1
    正しいブラッシングをする
  • 2
    糖分をとりすぎない
  • 3
    柔らかい物ばかり食べない

柔らかい食べ物はカスが歯につき、プラークが形成されやすくなります。

  • 4
    両側の歯で噛む

片側の歯でばかり噛んでいると、噛む側の歯は汚れが自然に落ちますが、 あまり噛まない側の歯には、プラークがたまりやすくなります。

  • 5
    たばこを吸わない

たばこを吸う人は、吸わない人に比べて、歯周病にかかりやすいのです。 これはニコチンなどの作用によって、血液の流れが悪くなり、細菌と戦う働きが弱くなるからです。

  • 6
    口で呼吸をしない

口呼吸をすると、口の中が乾燥しやすくなり、細菌に感染し炎症を起こしやすくなります。

  • 7
    ストレスをためない

ストレスは、歯ぎしりの元になり、歯ぎしりは歯周病を悪化させます。また、反対に歯周病は歯ぎしりの元にもなります。

歯科医院でできること

  • 1
    歯石除去(スケーリング)をしてもらう
  • 2
    歯周病が進んでしまったとき

生物質が歯周ポケットに直接入れて殺菌する方法や、 さらに症状が進んでしまった時には、施術が必要な場合もあります。新しい手術では、歯を抜かずに歯周の組織を再生させる方法もあります。

治療を進めるうえで、まず、口腔内の異常に増殖した細菌を減少・抑制することが必要です。

そのために、患者さんご自身によるプラークコントロール、特にブラシングをかならず続けてください。 当医院では、ブラッシング方法を詳しく指導いたします。お気軽にご相談ください。

ブラッシング

毛先を歯面斜め45度に当て、細かな振動で歯肉の内側、外側の3面と、咬合面を磨く。口腔内を一筆磨きの要領で、1周しながら、すべての歯を磨く。

以上の方法を1クール(5分を目安)として、口腔衛生度に応じて、クール数を決めてまいります。

フロッシング

歯ブラシの毛先がとどきにくい、歯と歯の間のプラークを取り除く時はデンタルフロスを使用します。

全身疾患とのかかわり

呼吸器系疾患と歯周病

歯周病を放置しておくと呼吸器系疾患にかかりやすくなる危険があります。

一般に煙草を吸う人、高齢者、あるいは身体の免疫系が抑制されている人は、肺炎、気管支炎、肺気腫、慢性閉塞性疾患などの呼吸器系の疾患にかかりやすいことが、知られています。

更に、いろいろな研究の結果から新しい危険因子として歯周病が注目されるようになりました。 歯周病がなぜ、呼吸器系疾患のリスクにつながるかはまだ研究されなければなりません。しかし、歯周病のような口の中の感染症が呼吸器系の感染を起こしやすくしていることは、すでに知られています。

呼吸器系疾患や歯周病のリスクがあると思われる方は、専門医のところで歯周組織の検査を受けてください。 健康な歯肉は健康な身体の基本です。健康な歯肉と健康な身体についての情報は、主治医にご相談ください。

妊娠と歯周病

歯周病を放置したまま妊娠すると早産で低体重出生の危険があります。

低体重児早産の危険因子としては、母親の喫煙、飲酒、感染などが知られています。最近の研究から新しい危険因子として歯周病が注目されています。

歯周病にかかっている妊婦は、早産で体重が軽い赤ちゃんを生むリスクが7倍も高くなっています。 歯周病と出生児との関係を立証するには、さらに研究が必要です。

しかし、歯周病が感染症であり、またあらゆる感染症は、生まれてくる赤ちゃんの健康にとって危険があることはよく知られています。したがって、妊娠している母親は充分な注意が必要です。

これから妊娠を予定している人と、あるいは歯周病のリスクがあると思われる人は、必ず、歯科医に尋ねてください。 出産前のいろいろな検査のひとつとして歯周組織の検査を行ってください。健康な身体で健康な赤ちゃんを産むには、歯肉が健康であることが大切です。健康な歯肉と健康な身体についての情報は主治医にお尋ねください。

糖尿病と歯周病

歯周病と糖尿病との間には相互関係があります。

糖尿病の患者さんは、そうでない人よりも歯周病に罹りやすいことは、以前から知られています。ところが、最近の研究からこの関係が一方的でないことが分かってきました。

歯周病があると糖尿病の血糖値のコントロールが難しくなるのです。なぜ、血糖値のコントロールが難しくなるのかを立証するには、さらに研究が必要です。しかし、高度の歯周病によって血糖値が高くなることが分かっています。長い時間にわたって身体が血糖値の高い状態にさらされると糖尿病のさまざまな合併症に対するリスクが高くなります。つまり歯周病をコントロールすることは、血糖値のコントロールにもつながるのです。

日本の潜在糖尿病患者はおよそ1,370万人、(1997年厚生省調査)といわれています。糖尿病と診断され、歯周病のリスクがあると思われる人は、歯科医を訪ねてください。健康な歯肉は健康な身体の基本です。健康な歯肉と健康な身体についての情報は歯科医にお尋ねください。

心臓と歯周病

歯周病があると循環器疾患に対するリスクが高くなります。

細菌が心臓に影響することは以前から知られていましたが、最近の研究から細菌性の感染症である歯周病にかかっていると 心疾患に対するリスクが高くなることが分かってきました。

さらに歯周病でない人にくらべて、致命的な心臓発作を起こす危険がおよそ2倍にもなることが報告されています。歯周病の細菌がどのように心臓に影響するかについては、さらに解明されなければなりませんが、細菌が炎症を起こしている歯肉から血中に入り、小さな塊となって動脈をつまらせるのでないかと考えられています。

また、歯周病を原因とする炎症によって、心臓の動脈の内部に脂肪性の沈殿物が堆積することが考えられます。

日本人の5人にひとりが何らかの心臓病にかかっていると言われています。心臓病と診断され歯周病のリスクがあると思われる場合は、主治医を尋ねてください。健康な歯肉は健康な身体の基本です。健康な歯肉と健康な身体についての情報は歯科医にお尋ねください。

骨再生療法

エムドゲイン

エムドゲインは、スウェーデンのビオラ社で開発された新しい歯周組織再生誘導材料です。

エムドゲインの主成分(エナメルマトリックスデリバティブ)は、子どもの頃、歯が生えてくるときに重要な働きをするたん白質の一種で、歯周外科手術の際に、手術部位にエムドゲインを塗布することにより、 歯の発生過程に似た環境を再現します。

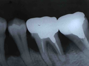
エムドゲインの治療例

治療例1
治療前
治療後1年4ヵ月

治療の説明:左下の歯の動揺と咬合痛もあり、骨再生のためにエムドゲインを使用。骨を再生させ、動揺も痛みもなくなった。
治療期間:術後1年間ほどレントゲンにて経過観察
治療回数:1回(1時間程度)
治療の料金:77,000円(税込)

治療前
治療後1年4ヵ月

治療の説明:右下後ろから2番目の歯の骨を再生するため、エムドゲインによる再生療法を行った。歯の根の間の股の部分の再生も確認された。
治療期間:術後1年間ほどレントゲンにて経過観察
治療回数:1回(1時間程度)
治療の料金:77,000円(税込)

治療例2
治療前
エムドゲイン術後

治療の説明:左下の後ろから1本目2本目の歯の骨を再生するために、エムドゲインによる再生療法を行った。
治療期間:術後1年間ほどレントゲンにて経過観察
治療回数:1回(1時間程度)
治療の料金:110,000円(税込)

治療名:エムドゲイン法(歯周組織再生療法)
治療の説明:重度の歯周病によって破壊された歯周組織をエムドゲイン・ゲルという薬剤を使用して、再生させる治療法です。
治療のリスクや副作用:完全に組織が元通りになるわけではありません。組織が再生するまで数か月かかります(期間は個人差があります)。手術後に、痛みや腫れ、出血を引き起こす可能性があります。喫煙している方は期待通りの効果を得られない場合があります。

検診・歯石取り・歯のクリーニング・フッ素塗布などもご予約いただけます。3ヶ月先のご予約もお気軽にどうぞ。

06-6422-8241

診療時間

 
午前 × ×
午後 × ×

午前:9:30~13:00
午後:14:30~18:30
△:9:30~12:00 13:00~16:00

休診日:木曜・日曜・祝日
※受付時間は、診療終了時刻の30分前までです。
※祝日がある週の木曜日は診療しております。
※毎月、最終水曜日の午後は院内ミーティングのため休診しております。

06-6422-8241

〒661-0012
兵庫県尼崎市南塚口町7-28-1 共栄ビル2階.3階
・阪急神戸線「阪急塚口駅」南改札口より徒歩8分、バス5分
・駐車場8台完備
※1階駐車場が満車の場合、西側の有料駐車場に駐車していただけます(領収書をお持ちいただければ代金をお支払いいたします)。

ウカイ歯科クリニックでは一緒に働いてくださる仲間を募集中です!阪急塚口駅からのレンタサイクル貸出あり。